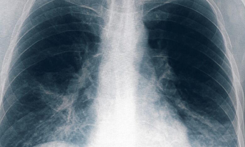
Neumonía bilateral por legionella: ocho nuevos casos en Tucumán

«Hoy estamos incluyendo al menos ocho pacientes nuevos, de los cuales uno es paciente, dos son personal de salud y cinco son cuidadores de pacientes que estaban internados», el ministro de Salud Luis Medina Ruiz.
Otras ocho personas resultaron afectadas por el brote de neumonía bilateral causado por la bacteria legionella, una de ellas en estado grave, tras un cambio en el criterio de selección de los pacientes, con lo que suman 13 casos en total y seis fallecidos, informó el ministro de Salud de Tucumán, Luis Medina Ruiz.
«Hoy estamos incluyendo al menos ocho pacientes nuevos, de los cuales uno es paciente, dos son personal de salud y cinco son cuidadores de pacientes que estaban internados», informó esta mañana Medina Ruiz en conferencia de prensa.
En ese marco, agregó: «Estamos incluyendo dentro del criterio de selección de los pacientes cualquier personal de salud, paciente o familiar cuidador que haya estado en el mes de agosto o haya recibido una intervención quirúrgica en agosto en la clínica privada y que tenga algún síntoma compatible».
«Estamos hablando de fiebre, de algún catarro respiratorio, o demás, de distinta gravedad, no necesariamente neumonía bilateral», precisó el titular de la cartera sanitaria tucumana.
Con este nuevo reporte, se registran nueve pacientes que están en su casa en seguimiento médico ambulatorio; cuatro internados, de los cuales dos están con asistencia respiratoria mecánica grave, y seis fallecidos, agregó Medina Ruiz.
En tanto, la ministra de Salud de la Nación, Carla Vizzotti, tiene previsto mantener una reunión virtual con integrantes de los Centros para el Control y Prevención de Enfermedades (CDC) de Estados Unidos, especialistas en la bacteria legionella, que es la causante de los casos de neumonía bilateral




